Актуальные мировые новости на каждый день!
Bitcoin
$87,297.80
+1350.24
(+1.57%)
Ethereum
$2,967.50
+141.4
(+5%)
Ripple
$1.89
+0.05
(+2.56%)
Litecoin
$76.38
+1.93
(+2.6%)
EOS
$0.16
+0.01
(+8.23%)
Cardano
$0.37
+0.02
(+5.03%)
Stellar
$0.22
+0.01
(+5.42%)
NEO
$3.54
+0.04
(+1.2%)
NEM
$0.00
-0
(-1.41%)
DigitalCash
$38.59
+2.32
(+6.41%)
Tether
$1.00
0
(0%)
Binance Coin
$848.27
+16.31
(+1.96%)
QTUM
$1.29
+0.05
(+4.21%)
Verge
$0.00
0
(+1.61%)
Ontology
$0.05
0
(+1.56%)
ZCash
$436.01
+44.7
(+11.42%)
Steem
$0.06
0
(+3.49%)

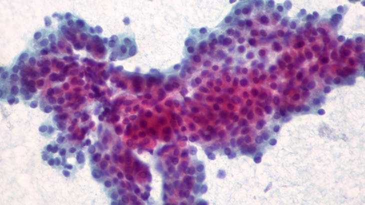
Российские ученые нашли способ склонить клетки рака к самоуничтожению

Рост злокачественных опухолей способно подавить новое вещество, которое открыли ученые Тольяттинского государственного университета совместно с итальянскими коллегами.

В ходе эксперимента выяснилось, что из-за воздействия нового вещества раковые клетки впадают в состояние глубокого апоптоза. Речь идет о процессе самоуничтожения. Данный механизм клеточной гибели необходим для поддержания гомеостаза, объяснили специалисты.

Нормальная клетка начинает самоуничтожаться на фоне каких-либо повреждений или нарушений. Однако онкологические новообразования делают все, чтобы подавить апоптоз. Синтезированное вещество может проникать в клетки ДНК и запускать процесс самоуничтожение клеток рака.

Комментарии закрыты.